春はホワイトニングがおすすめ
こんにちは、高見歯科医院 院長の裵(ペ)です。
春は「第一印象」が最も大切な季節です。4月は入学・入社・異動など、新しい出会いが増える時期です。
この時期に意外と見られているのが「口元の印象」。
・笑ったときの歯の色
・清潔感
・話しているときの印象
👉 歯が白いだけで、清潔感・信頼感・若々しさが大きく変わります。
■ なぜ春にホワイトニングがおすすめなのか
① 第一印象を一番良い状態でスタートできる
新生活のスタート時に白い歯を手に入れることで、その後の人間関係や仕事にもプラスに働きます。
② マスクを外す機会が増えている
ここ数年でマスクを外す場面が増え、口元が見られる機会も増えています。
👉 「思っていたより見られている」のが歯です。
③ イベント前に余裕を持って仕上げられる
- 入学式
- 入社式
- 新学期
- 写真撮影
👉 春はスケジュールが読めるので、計画的に白さを整えやすい時期です。
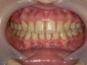
🔼当院での最近の事例です。

歯が白くなったと、患者さんは満足そうでした!特に痛みもありませんでした😁
■ ホワイトニングって安全なの?
当院では、歯科医師・歯科衛生士の管理のもとで安全性に配慮した薬剤を使用しています。
また、
・しみやすい方への配慮
・事前の口腔チェック
・適切な回数の提案
を行い、無理なく進めていきます。
■ こんな方におすすめです
- 人前で話す機会が多い方
- 第一印象を良くしたい方
- 写真写りを良くしたい方
- 結婚式・イベントを控えている方
- 歯の黄ばみが気になる方
■ よくあるご質問
Q. どれくらい白くなりますか?
→ 個人差はありますが、1〜数回で変化を実感される方が多いです。
Q. 痛みはありますか?
→ 一時的にしみることがありますが、調整しながら進めますのでご安心ください。
■ 北九州でホワイトニングをお考えの方へ
ホワイトニングは「ただ白くする」だけでなく、
自信を持って笑えるようになる治療です。
新しいスタートのこの季節に、口元の印象も一緒に整えてみませんか?
📍 北九州でホワイトニングをご検討の方は、お気軽にご相談ください✨
PS、先日子供達と釣りに行ってきました🎵






