-
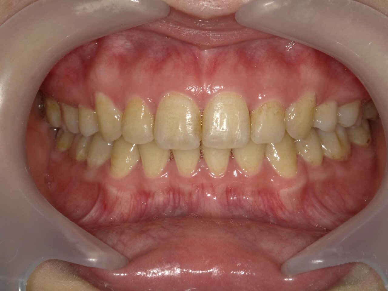
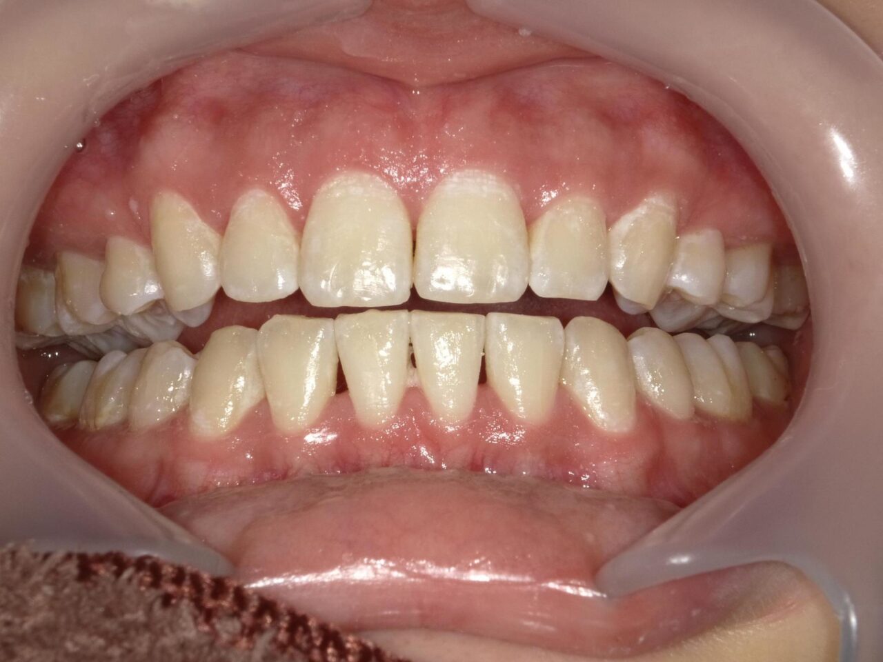
噛み合わせ
プレオルソ、反対咬合
-
before
-
after
通院時の年齢 7歳 性別 男児 通院回数 3回 通院目的 噛み合わせを改善したい 処置内容 プレオルソ 費用 ¥132,000(税込) デメリット 装置の装着とお口のトレーニングの習慣化が出来なければ、効果がありません。 備考 プレオルソ装置に慣れるまでには、数ヶ月かかるケースもあります。
今回の患者さんは、装置の装着に加えて、MFT(お口のトレーニング)にも積極的に取り組んでくださいました。
その結果、治療開始から約1ヶ月で改善が認められました。現在も引き続き装置を使用されています。
今後も永久歯が生え揃うまで、定期的にチェックをする予定です。 -
-
審美治療
特許取得ホワイトニング❼
-
before
-
after
通院時の年齢 30代 性別 女性 通院回数 1回 通院目的 歯を白くしたい 処置内容 オフィスホワイトニング、ハイパー1回コース 費用 ¥47,300(税込) デメリット 一時的に歯がしみる事があります 備考 施術前に無料カウンセリングを行い、患者さんの目標やご希望に合わせたホワイトニングコースをご提案しました。
今回は、歯科医院で行う「オフィスホワイトニング」の1回コースを実施しました。
歯の白さは、7段階アップしました。 -
-
ダイレクトボンディング
審美治療
前歯2本のダイレクトボンディング
-
before
-
after
通院時の年齢 40代 性別 女性 通院回数 2回 通院目的 前歯の隙間を改善したい 処置内容 ダイレクトボンディング 費用 ¥88,000 デメリット 被せ物の治療に比べてやや強度が低く、かける場合がある。 備考 今回の患者さんは長期間歯ぎしりをしている可能性が高かったため、マウスピースを使用してもらう事になりました、歯科医院での定期的な歯石取りや普段のマウスピースの使用により、ダイレクトボンディング部の着色や破折を予防出来ます。 -
-
審美治療
特許取得ホワイトニング❻
-
before
-
after
通院時の年齢 20代 性別 男性 通院回数 3回 通院目的 歯を白くしたい 処置内容 オフィスホワイトニング、プロプラス2回コース 費用 ¥45,100(税込) デメリット 歯がしみる可能性はある 備考 施術前に無料カウンセリングを行い、患者さんの目標やご希望に合わせたホワイトニングコースをご提案しました。
今回は、歯科医院で行う「オフィスホワイトニング」の2回コースを実施しました。
患者さんは「しみる」症状を心配されていたため、事前にしみ止め処置(¥1,980)を行いました。
-
カテゴリー




