特許取得ホワイトニング❼
-
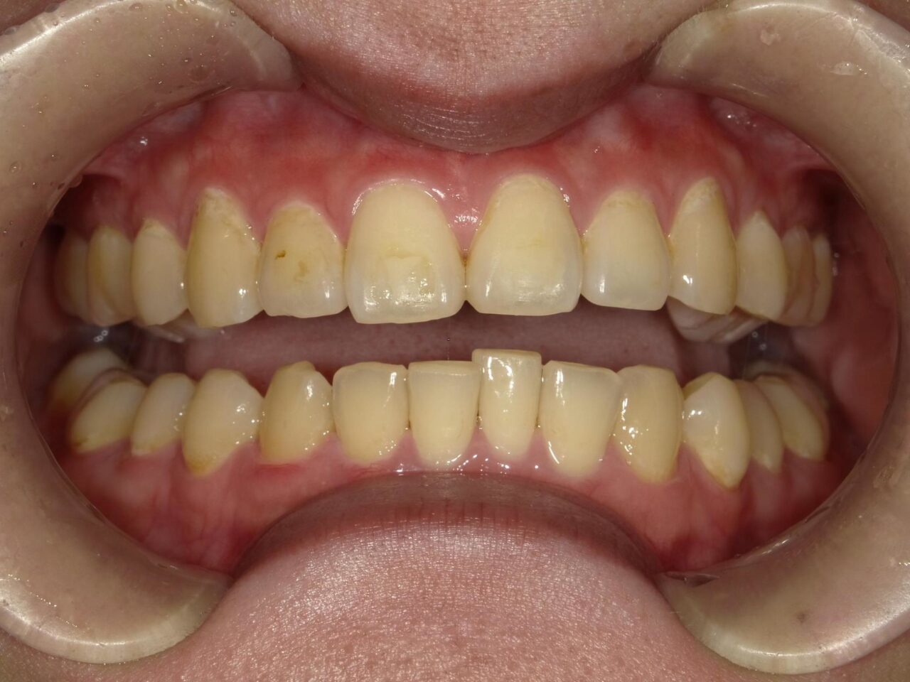
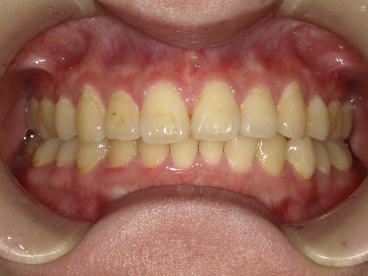
before
-
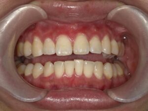
after
| 通院時の年齢 | 30代 |
|---|---|
| 性別 | 女性 |
| 通院回数 | 1回 |
| 通院目的 | 歯を白くしたい |
| 処置内容 | オフィスホワイトニング、ハイパー1回コース |
| 費用 | ¥47,300(税込) |
| デメリット | 一時的に歯がしみる事があります |
| 備考 | 施術前に無料カウンセリングを行い、患者さんの目標やご希望に合わせたホワイトニングコースをご提案しました。 今回は、歯科医院で行う「オフィスホワイトニング」の1回コースを実施しました。 歯の白さは、7段階アップしました。 |
-
治療内容

-
治療のポイント





